
We all hear about heart attacks. Something happens to a person’s heart, and we know it’s deadly. But what’s actually happening?
A heart attack occurs when there is an interruption with the blood supply to the heart, leading to the heart muscle (myocardium) either temporarily not getting enough blood (ischaemia) which can lead to the muscle cells dying (infarction).
There are two main reasons the heart isn’t getting enough blood – either the blood supply isn’t enough, or the heart muscle is asking for more blood than usual.
The first group is often due to a blockage in the heart arteries made up of an atherosclerotic plaque. This plaque gradually can narrow the blood vessel, but dangerously it can also crack, on top of which a blood clot forms (like in the picture below) and blocks off the entire vessel. It can also be due to the artery squeezing abnormally (vasospasm), or other factors such as low oxygen in the blood (hypoxia) or low blood levels (anaemia).

The second situation happens if the heart muscle becomes too thick (hypertrophy), or if the heart is under a lot of stress, such as during exercise or if the heart is beating very fast due to an abnormal heart rhythm (arrhythmia).
When you exercise your heart is under more stress, the muscle has to work harder, and it asks for more blood to get more oxygen so it can pump harder. This is why you might not have symptoms of a heart problem at rest, but if you exercise, the symptoms might appear. As time goes on, and if the blockage in the artery gets worse, the symptoms may come on with less and less exercise. This is also why your doctor might order a stress test if your symptoms aren’t always present – exercise in a supervised, safe environment may bring them out.
Generally we categorise patients into four categories:
- Stable angina
- Unstable angina (UA)
- Non-ST elevation myocardial infarction (NSTEMI)
- ST elevation myocardial infarction (STEMI)
The first category isn’t a heart attack – but it is a sign that the heart isn’t getting enough blood and needs further investigation and treatment.
The bottom three (2-4) are grouped together under the term ‘acute coronary syndrome’.
Stable angina means that you do get angina, but at a stable distance or exertion level, and it always goes away with rest. This suggests a narrowing in the heart arteries, but not one that is progressing and can often be treated with medications. This isn’t permanent however and the situation can get worse and change. At this stage, there is no damage to the muscle, just a temporary limitation to the blood supply.
Unstable angina means that you are getting chest pain with very little exertion or even at rest, and it doesn’t always go away when you stop being physically active. This means the blood supply is significantly impaired and should be treated like a heart attack – although at this stage the muscle cells are not dying, this can very quickly proceed to the next two types.
A NSTEMI is where the blood supply is briefly completely interrupted by a blood clot growing on top of the broken plaque (plaque rupture), but then the body manages to restore blood flow. Damage occurs to the muscle cells and some of them die, releasing a protein called troponin. A part of the wall is damaged but not all the way through.
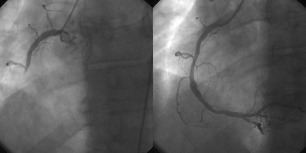
A STEMI is a critical emergency and the most dangerous type of problem – the blood supply is completely blocked, and the body cannot unblock it. Muscle cells will continue to die as long as the blockage (a mixture of thrombus and plaque) remains there. The patient either needs an urgent angiogram and stent, or if not available, a special clot busting medication called thrombolysis. In this type of heart attack, the full thickness of the heart muscle is at risk. In the picture below, you can see two pictures from an angiogram; on the right is how the vessel should look, and on the left it is completely blocked.

The ‘ST’ in the terms NSTEMI and STEMI refers to a particular part of the ECG, the electrical tracing of the heart that will be performed on all patients coming to the hpspital with chest pain. By analysing this bedside test, doctors can quickly assess the severity of the heart attack.
Reblogged this on Cardiophile Blog and commented:
Good illustrated supplement to my post on Heart attack at: https://cardiophile.blog/2017/01/12/heart-attack/
LikeLike